Die Trächtigkeit

Phasen der Trächtigkeit

EmbryonalphaseDie Embryonalphase beim Hundewelpen entspricht etwa der ersten Hälfte der Trächtigkeit. In dieser Periode werden sämtliche Organge angelegt.

Die Trächtigkeit beginnt mit der Befruchtung der Eizelle durch das Spermium. Der Züchter kann eine Trächtigkeit bei seiner Hündin aber erst sehr viel später, etwa um den 21. Tag herum, feststellen. Diese frühe Embryonalentwicklung und die Einnistung des Embryos sind entscheidende Phasen für die zukünftigen Welpen.

 

 

Vorteile einer präzisen Läufigkeitskontrolle
Wenn der Läufigkeitsverlauf mit speziellen Untersuchungen, z. B. der Bestimmung des Progesteronspiegels, kontrolliert wird, kann der Zeitpunkt der Ovulation relativ genau bestimmt werden. Züchter beobachten dann sehr häufig, dass ihre Hündinnen genau zwei Monate später werfen. Ein Beispiel: Am 25. September wird eine Hündin nach Kontrolle des Läufigkeitsverlaufes mit Nachweis der Ovulation am 23. September gedeckt. Diese Hündin wird häufig am 25. November werfen.

Befruchtung und Einnistung
Die Befruchtung, die Vereinigung einer Samenzelle mit einer Eizelle, findet weit oben in der Gebärmutter, in den Eileitern statt. Am Ende der folgenden Woche wandern die Embryonen von dort in Richtung der Gebärmutterhörner. Sie schwimmen in der Gebärmutterflüssigkeit, bewegen sich darin fort und können sogar von einem Horn in das andere wandern. So ist es möglich, dass die Befruchtung im rechten Eileiter stattgefunden hat, und die nachfolgende Einnistung im linken Gebärmutterhorn. Schliesslich werden die Embryonen im Bereich einer Gebärmutterdrüse unbeweglich. Diese Einnistung des Embryos in der Gebärmutterschleimhaut findet relativ spät, etwa um den 16. Tag der Trächtigkeit statt. Erst ab diesem Zeitpunkt beginnt die Entwicklung der Embryonen und ihrer Embryonalhüllen.

Kann eine Hündin Welpen verschiedener Rüden in sich tragen?
Phasen der TrachtigkeitZur Beantwortung dieser Frage muss man sich lediglich das Verhalten einer freilaufenden, läufigen Hündin auf dem Land anschauen. Sie wird meist von mehreren Rüden verfolgt, die häufig alle nacheinander zum Zug kommen. So können also Welpen desselben Wurfes verschiedene Väter haben. Dies kann in der Hundezucht zu Irrtümern und Betrügereien führen.

Die Trächtigkeit beginnt mit der Vereinigung von Samenzelle und Eizelle, der unmittelbar die ersten Zellteilungen folgen.


Zwei unterschiedliche Phasen

Die Entwicklung des zukünftigen Welpen wird in zwei Phasen unterteilt:

  • Embryogenese: Hier bilden sich sämtliche Organanlagen aus. Neben anderen markanten Ereignissen bilden sich z.B. die Augenlider am 32. Tag, der Gaumen wächst am 33. Tag und die Zehen differenzieren sich am 35.Tag. Wenn in dieser Phase beispielsweise das Zusammenwachsen des Gaumens nicht vollständig abgeschlossen wird, wird der Welpe mit einer so genannten Gaumenspalte geboren. Am Ende dieser Embryogenese haben die zukünftigen Welpen ein geringes Gewicht, aber die Mehrzahl aller Körperstrukturen und sämtliche Organe sind angelegt. Der Embryo wird jetzt zum Fötus, bei dessen Betrachtung man bereits die Art des entstehenden Säugetiers erkennen kann.
  • Gewichtszunahme: Mehr als drei Viertel des Geburtsgewichts der Welpen wird vom Fötus nach dem 40. Trächtigkeitstag aufgebaut.

Gibt es Medikamente, die während der Trächtigkeit nicht verabreicht werden sollen?
Medikamente sollten während der Trächtigkeit grundsätzlich so weit wie möglich vermieden werden und nur nach tierärztlicher Verordnung erfolgen. Häufig sind die Nebenwirkungen von pharmakologisch aktiven Wirkstoffen auf das Embryo oder den sich entwickelnden Fötus nicht ausreichend untersucht. Soll ein Medikament angewendet werden, so muss man seine abortiven Wirkungen (Ursachen für einen vorzeitigen Abgang des Fötus) sowie die teratogenen (Missbildungen auslösenden) und embryotoxischen (für die Welpen giftigen) Wirkungen kennen und das Risiko im Einzelfall abwägen.

Die Plazenta hat zahlreiche Aufgaben: Ernährung, Schutz, Hormonbildung
Aufgaben der PlazentaDie Trächtigkeit ist ein komplexer Austauschprozess zwischen der Mutter und ihren Föten. Die Rolle der Hündin besteht darin, eine geeignete hormonelle und anatomische Umgebung in der Gebärmutter zur Verfügung zu stellen und die zukünftigen Welpen über die Plazenta (Mutterkuchen) optimal zu ernähren.

Die hormonelle Funktion
Ein Hormon ist hauptsächlich für die Aufrechterhaltung der Trächtigkeit verantwortlich: das Progesteron. Bei der Hündin wird dieses Hormon von den Gelbkörpern der Eierstöcke vom Beginn bis zum Ende der Trächtigkeit gebildet. Dies unterscheidet sie von anderen Säugetierarten, bei denen das Progesteron zum Teil auch von der Plazenta gebildet wird. Progesteron wird nach jeder Läufigkeit stets über einen Zeitraum von etwa zwei Monaten gebildet, und zwar unabhängig davon, ob die Hündin trächtig ist oder nicht. Dieses Phänomen hat mehrere praktische Konsequenzen. Zum einen kann die Messung dieses Hormons nicht für die Trächtigkeitsdiagnose herangezogen werden, da es normalerweise auch bei nicht trächtigen Hündinnen nachweisbar ist. Zum anderen kann ein Abfall des Progesteronspiegels bei einer trächtigen Hündin

  • der Tierarzt spricht hier von einer Gelbkörperinsuffizienz
  • zu einem Abort, also einem Abbruch der Trächtigkeit, mit vorzeitigem Abgang der Föten führen.

Die Embryonalhüllen
Die Plazenta (Mutterkuchen) ist eine sehr enge Verbindungszone zwischen der Mutter und ihren Welpen und stellt einen Ort des Austausches zwischen den beiden Organismen dar. Beim Hund sind die Blutkreisläufe der Mutter und der Föten nicht so eng miteinander verbunden wie zum Beispiel bei der Frau. Dennoch liegen sie sehr nahe aneinander, so dass zahlreiche chemische Moleküle und Infektionserreger problemlos von einem Blutkreislauf in den anderen übergehen können. Die Plazenta bildet ein den Fötus gürtelförmig umschliessendes Band (Placenta zonaria). Ihr dunkelgrünes, fast schwarzes Pigment ist zum Zeitpunkt der Geburt, sichtbar.

Physiologie der Trächtigkeit

Progesteron ist das wichtigste Hormon der Trächtigkeit
Physiologie der TrachtigkeitDie Plazenta bildet das Hormon Relaxin, das zur Trächtigkeitsdiagnose herangezogen werden kann (siehe links). Der zukünftige Welpe wird von mehreren Embryonalhüllen umschlossen. Die erste, den Fötus unmittelbar umschliessende Hülle, ist das Amnion. Es ist durchsichtig und umgibt das Neugeborene bei der Geburt. Die Amnionhöhle ist mit der so genannten Amnionflüssigkeit gefüllt, in der der Fötus schwimmt. Sie bietet einen mechanischen Schutz gegen Stösse, hat eine ernährende Funktion und spielt eine entgiftende Rolle. Das Amnion wird von einer weiteren, grösseren Hülle, der Allantois, umschlossen. Sie stellt die weithin bekannte Fruchtblase dar, die einige Minuten vor der Geburt platzt.


Können Infektionserreger von der Mutter auf den Fötus übergehen?

Zahlreiche Infektionserreger sind in der Lage, die Plazentabarriere zu durchdringen, die Föten zu infizieren und so Aborte oder Totgeburten auslösen. Zu diesen Infektionserregern gehören Bakterien, Viren und Endoparasiten. E. coli und Streptococcus canis, normale Bestandteile der Vaginalflora, aber auch Brucella canis, Campylobacter spp. Mykoplasmen und Ureaplasma spp sind Beispiele für Bakterien, die direkt in das Blut des Fötus übergehen können. Die Herpesvirusinfektion des Hundes verursacht Schäden an der Plazenta und wird so auf den Fötus übertragen.

Das canine Parvovirus Typ1 kann eine embryonale Resorption auslösen. Das Staupevirus kann die Plazenta durchdringen und Aborte durch eine Infektion der Föten auslösen. Die Larven des Parasiten Toxocara canis wandern durch die Plazenta hindurch und stören die Entwicklung neugeborener Welpen. Schliesslich verdächtigt man auch die Toxoplasmose und die Neosporose, neonatale Tödesfälle, beziehungsweise die Geburt toter Welpen mit einer Herzmuskelentzündung hervorzurufen.

Störungen bei der Befruchtung

Frühzeitiges Scheitern der Trächtigkeit
Der Begriff Befruchtungsstörungen fasst alle Faktoren zusammen, die eine Samenzelle darin hindern, eine Eizelle zu erreichen und mit ihr zu verschmelzen, also sie zu befruchten. Nach dem Decken bleibt die Hündin leer, da es nicht zu einer Trächtigkeit gekommen ist. In den weitaus meisten Fällen ist eine ausbleibende Befruchtung auf ein falsches Paarungsdatum zurückzuführen, es gibt aber auch andere Ursachen, zum Beispiel Infektionen.

Vaginitis
Es handelt sich um Entzündungen der Vaginalschleimhaut. Sie kommen häufig vor, werden aber nur selten diagnostiziert weil sie keine klar interpretierbaren Symptome hervorrufen. Betroffene Hündinnen können eine geringgradigen Vaginalausfluss haben, ihre Vulva belecken, anziehend auf Rüden wirken, obwohl sie nicht läufig sind, oder wiederholte Harnwegsinfektionen entwickeln. Also nichts sehr eindeutiges!

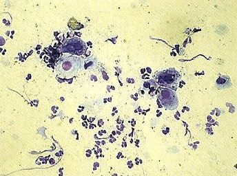
Scheidenabstrich VaginitisScheidenentzündungen sind eine häufige Ursache von Unfruchtbarkeit bei Zuchthündinnen und müssen deshalb sorgfältig diagnostiziert und behandelt werden. Die Diagnose ist aber meist sehr schwierig. Die Untersuchung des hinteren Abschnitts der Vagina mit Hilfe eines Spekulums oder die Beurteilung von Vaginalabstrichen können zwar hilfreich sein (häufig stellt man zahlreiche weisse Blutkörperchen fest), die Methode der Wahl ist jedoch die Vaginoskopie. Dabei wird ein kleines Endoskop in die Vagina eingeführt, um den genauen Zustand des Organs direkt visuell zu beurteilen. Lokale und systemische antibiotische Behandlungen müssen von längerer Dauer sein, da Antibiotika nur sehr schlecht in dieses Organ eindringen.

Durch einen Scheidenabstrich kann man Vaginitits diagnostizieren. Man bemerkt viele kleine Blutkörperchen.

Storungen bei der BefruchtungStorungen bei der Befruchtung1a

Endoskopisches Erscheinungsbild einer Vaginitis (Scheidenentzündung). Oben erkennt man eine granulomatöse Vaginitis, gekennzeichnet durch kleine Knötchen an der Schleimhautoberfläche.

Missbildungen der Vagina
Anatomische Anomalien der Vagina, wie z.B. eine Vaginalstenose (Verengung) oder eine Vaginalhyperplasie (Bildung überschüssigen Gewebes) während der Läufigkeit stören im Allgemeinen den korrekten Ablauf des Deckaktes. Häufig fallen diese Missbildungen erst durch solche Paarungsprobleme auf. In sehr seltenen Fällen fehlt der hinter Abschnitt der Vagina, oder das Jungfernhäutchen ist noch präsent. Ein entsprechender Verdacht entsteht, wenn die Hündin während ihrer Läufigkeit keinen blutigen Ausfluss entwickelt. Das in der Gebärmutter entstehende Blut kann in diesen Fällen nicht nach aussen abfliessen.

Anomalien der Eileiter und der Gebärmutter
Die Gebärmutter oder die Eileiter können infolge von angeborenen Missbildungen (Segmentierung des Geschlechtsapparates, Entwicklungsstörung) undurchlässig für Spermien sein. In diesem Fall ist die betroffene Hündin von Beginn an steril. Es können aber auch so genannte erworbene Missbildungen auftreten. An der Gebärmutter können beispielsweise Verletzungen beim Gebären der Welpen oder Verklebungen und Verwachsungen infolge eines schlecht ausgeführten Kaiserschnitts entstehen. Die Diagnose erfolgt in diesen Fällen mit Hilfe von Ultraschalluntersuchungen oder Röntgenaufnahmen.

Missbildungen der Eileiter - angeboren oder erworben infolge einer Infektion - werden mit Hilfe einer so genannten "Hysterosalpingographie" diagnostiziert. Dabei wird ein Kontrastmittel in die Gebärmutter injiziert, anschliessend werden Röntgenaufnahmen angefertigt, um die Durchgängigkeit der Organe zu überprüfen. In der Praxis werden diese sehr aufwendigen und komplizierten Untersuchungen bei Hündinnen praktisch niemals durchgeführt, so dass die eigentliche Ursache in solchen Fällen oft im Dunkeln bleibt.

Warum führen Scheidenentzündungen zu Fruchtbarkeitsstörungen?
Scheidenentzündungen bei ausgewachsenen Hündinnen haben meistens bakterielle Ursachen. Mehrere Studien weisen sehr eindeutig darauf hin, dass sie eine potenzielle Rolle bei Fruchtbarkeitsstörungen spielen. In der Vagina können diese infektiösen Entzündungen ein ungünstiges Milieu mit spermizider Wirkung (Spermien abtötende Wirkung) schaffen oder eine Unbeweglichkeit der vom Rüden ejakulierten Spermien hervorrufen, die daraufhin nicht mehr in der Lage sind, in die Gebärmutter aufzusteigen.

Vor allem aber steigern Scheidenentzündungen das Risiko des Aufsteigens von Bakterien in die Gebärmutter, insbesondere während der Läufigkeit, wenn der Gebärmutterhals geöffnet ist. In der Gebärmutter können diese Bakterien vaginalen Ursprungs schliesslich ein ungünstiges Milieu für die Entwicklung der Embryonen schaffen (mögliche Folge: vorzeitige embryonale Resorption), die Gebärmutterwand infiltrieren und die Einnistung stören oder eine Entzündung der Gebärmutterschleimhaut (Endometritis) und der Plazenta hervorrufen (Plazentitis), was in letzter Konsequenz zu einem Abbruch der Trächtigkeit führen kann.

Störungen bei der Einnistung

Dieser Begriff beschreibt Trächtigkeitsabbrüche zum Zeitpunkt der Einnistung, also in der Phase, in der sich der Embryo in der Gebärmutter festsetzen sollte. Trotz sorgfältiger Läufigkeitskontrolle erweist sich die Hündin in diesem Fall als nicht tragend, und der Tierarzt muss zunächst den Zustand der Gebärmutter untersuchen.

Glandulär-zystische Hyperplasie
Diese Erkrankung der Gebärmutter hängt mit einer übermässigen Reaktion der Gebärmutterschleimhaut (Endometrium) auf die Stimulation durch das Hormon Progesteron zusammen. Das Endometrium besitzt zahlreiche kleine Drüsen, die sich übermässig stark verdicken können, zystös werden und schliesslich zu einer Verdickung der gesamten Gebärmutterwand mit Verlust ihrer Elastizität führen. Dadurch werden die Embryonen an der Einnistung in der abnorm veränderten Gebärmutterschleimhaut gehindert. In einigen Fällen ist diese Anomalie bei der Ultraschalluntersuchung der Gebärmutter zu erkennen. Gelingt dies nicht, muss eine Gewebeprobe auf chirurgischem Weg entnommen werden (Biopsie).

Die glandulär-zystische Hyperplasie der Gebärmutter ist in vielen Fällen irreversibel. Einige hormonelle Behandlungen (Anti-Progesteron, nur in einigen Ländern erhältlich) haben sich gelegentlich als wirksam erwiesen. Ohne erfolgreiche Therapie wird sie oftmals durch eine sehr schwere Erkrankung kompliziert - die Pyometra (eitrige Gebärmutterentzündung). Nach mehreren hintereinander folgenden Läufigkeiten kommt es zu einer immer hochgradigeren Veränderung des Endometriums. Die Ursache einer Pyometra ist eine Ansammlung von Sekreten in der Gebärmutter, die schliesslich mit Bakterien kontaminiert wird.

glandular zystische Hyperplasie1glandular zystische Hyperplasie

Links: Typisches Erscheinungsbild einer Gebärmutter mit glandulär-zystischer Hyperplasie nach chirurgischer Kastration. Ohne Behandlung entwickelt sich diese Erkrankung zu einer Pyometra, die das Leben der Hündin gefährden kann.

Rechts: Ultraschall ist das Untersuchungsverfahren der Wahl für die Diagnose der glandulär zystischen Hyperplasie.

Gebärmutterinfektionen
Die Anwesenheit von Mikroorganismen, meist Bakterien, in der Gebärmutter einer tragenden Hündin können zu einem Trächtigkeitsabbruch im Storungen bei der EinnistungZusammenhang mit einer Gebärmutterentzündung (Endometritis) mit direktem Einfluss auf die Embryonen oder einer infektioösen Entzündung der Plazenta (Plazentitis) führen. Im Falle einer Plazentitis findet die Einnistung der Embryonen zwar statt, anschliessend beeinträchtigen die Schäden der Plazenten jedoch sehr schnell ihre Entwicklung und stören den Nährstoff- und Sauerstoffaustausch zwischen der Mutter und den Embryonen. Diese können in der Folge degenerieren und frühzeitig im Verlauf der Trächtigkeit verschwinden. Man spricht hier von einer vorzeitigen embryonalen Resorption. Für den Besitzer sind häufig keinerlei Anzeigen feststellbar, seine Hündin scheint lediglich unfruchtbar zu sein.

Typischer Ultraschallbefund einer vorzeitigen embryonalen Resorption. Bei dieser Hündin wurde eine Infektion der Gebärmutter festgestellt.

Diagnose der Trächtigkeit

Klinische Befunde und Verhaltensänderungen
Auch bei einer so genannten Scheinträchtigkeit (Pseudogravidität) verändert sich die Hündin körperlich und verhält sich, als ob sie trächtig sei.

Der erste Monat
Rontgenbild letzte TrachtigkeitswocheAufgrund der späten Einnistung sind bei der Hündin zu Beginn der Trächtigkeit nur sehr wenige und unspezifische Veränderungen feststellbar. Etwa um die zweite oder dritte Woche ist gelegentlich ein Rückgang des Appetits zu beobachten. Auffällige Verhaltensänderungen sind dagegen meist nicht feststellbar. Einige Züchter berichten, dass ihre trächtigen Hündinnen mehr schlafen - ein wahrlich unsicheres Anzeichen!

Gegen Ende des ersten Monats vergrössern sich die Milchdrüsen, und die Milchleisten werden deutlich sichtbar. Die Zitzen erscheinen prall und bei hellhäutigen Hündinnen rosa gefärbt. Diese Anzeichen sind jedoch keine sicheren Hinweise auf eine Trächtigkeit. Bei einigen Hündinnen stellt man etwa um den 25. bis 30. Tag eine Zunahme des Bauchumfangs hinter den Rippen fest.

Auch in diesem Stadium können einige Hündinnen noch ein bis zwei Tage einen weisslichen oder transparenten, aber medizinisch bedeutungslosen Vaginalausfluss an der Vulvakommisur erkennen lassen. Dies bedeutet aber keinesfalls zwangsläufig, dass die Hündin unter einer (eitrigen) Infektion der Gebärmutter (Pyometra) leidet.

Der zweite Monat
Klinische Befunde und VerhaltsanderungenDie Trächtigkeit wird sehr schnell deutlich sichtbar. In dieser zweiten Phase vergrössern sich die Milchdrüsen erheblich. Die Milchbildung (Laktation) beginnt im Allgemeinen etwa 8 bis 10 Tage vor der Geburt.

Es gibt hier jedoch grosse Unterschiede: Bei einigen bereits früher trächtig gewesenen Hündinnen kann die Milchbildung bereits um den 40. Tag herum einsetzen, während erstmals trächtige Hündinnen unter Umständen erst wenige Stunden vor der Niederkunft, manchmal sogar erst während der Geburt, Milch bilden. Züchter haben in diesen Fällen oftmals Bedenken, ob die Milchbildung für die Aufzucht der Welpen ausreicht.
Der Bauchumfang nimmt jetzt weiter zu (ausser bei sehr kleinen Würfen), eine deutliche Gewichtszunahme bei der Hündin findet aber erst relativ spät statt, vor allem in den letzten drei Trächtigkeitswochen, in einer Phase also, in der auch die Föten deutlich an Gewicht zulegen.

Beispiel für die Gewichtsentwicklung bei trächtigen Hündinnen. Die Gewichtszunahme findet hauptsächlich in den letzten drei Trächtigkeitswochen statt, man spricht hier auch von Graviditätsanabolismus.

Was ist eine Pseudogravidiät?
Die Pseudogravidität, auch Scheinträchtigkeit genannt, ist durch eine Schwellung des Gesäuges, Milchbildung oder durch Verhaltensänderungen (Nestbau, Bemuttern von Spielzeugen) charakterisiert. Zu einer Pseudogravidität kommt es zwischen sechs Wochen und drei Monaten nach der Läufigkeit, wenn der Progesteronspiegel im Blut sinkt. Aktuelle Studien zeigen, dass 87% der Hündinnen mindestens zwei mal in ihrem Leben eine Pseudogravidität haben, 64% regelmässig.

In der Praxis wird sie weniger häufig bei Hündinnen von Züchtern festgestellt als bei Familienhunden.
Bei einer häufigen Pseudogravidität besteht der Verdacht eines erhöhten Risikos für Brusttumoren. Die Gabe entsprechender Medikamente ist dann zu empfehlen. Verhaltensforscher verweisen auf die Bedeutung dieses Phänomens bei Wölfen. Bei ihnen vermehren sich nur die dominierenden weiblichen Tiere, die Brunst der anderen verläuft synchron. Sie produzieren dann ebenfalls zwei Monate später Milch und können als Amme dienen.

Abtasten und Kontrolle des Hormonstatus

Der Tierarzt verfügt heute über zuverlässige Methoden, um eine Trächtigkeit sicher zu diagnostizieren. Züchter können bei einer frühzeitigen Trächtigkeitsdiagnose den Wurf besser planen und mögliche Anomalien rechtzeitig erkennen.

Die Palpation (Abtasten)
Ab der dritten Woche kann ein erfahrener Untersucher, die Fruchtkammern (fötale Ampullen) mit den Fingerspitzen durch die Bauchdecke ertasten. Hierzu werden die Hände zu beiden Seiten des Bauches angelegt. In diesem Stadium fühlen sich die Fruchtkammern wie kleine, kreisrunde Nüsse gummiartiger Konsistenz an. Um den 30. bis 35. Tag werden sie etwas länglicher und beginnen allmählich zusammenzufliessen, wodurch sie weniger gut gegeneinander abgrenzbar werden.

Zwischen Tag 35-40 und etwa Tag 50 sind die Tastbefunde auch für erfahrene Untersucher nur sehr schwer zu interpretieren. Erst gegen Ende der Trächtigkeit liefert die Palpation wieder interessante Befunde. Jetzt fühlt man die Knochen der Welpen, und zum Zeitpunkt der Geburt kann man das Voranschreiten der Welpen in der Gebärmutter in Richtung der Vagina beurteilen. Bei etwas zu fetten Hündinnen, bei sehr unruhigen Tieren oder aber bei Hündinnen, die ihre Bauchdecke anspannen, ist das Abtasten sehr schwierig oder sogar unmöglich. Die Palpation ist also keine jederzeit und bei jeder Hündin anwendbare Methode zur Trächtigkeitsuntersuchung.

Die Auskultation (Abhören)
Die Auskultation (Abhören) des Herzschlages der Föten kann im Verlauf des zweiten Trächtigkeitsmonats versucht werden. Die Herzfrequenz der Welpen ist deutlich schneller als die der Mutter und beträgt etwa 240 Schläge pro Minute. Diese Untersuchung ist vor allem gegen Ende der Trächtigkeit von grosser Bedeutung, um möglicherweise vorhandene krankhafte Zustände der Föten rechtzeitig erkennen zu können.

Die Bestimmung des Hormons Relaxin
Dieser in der Hundegynäkologie relativ neu aufgekommene und sehr schnell durchführbare Bluttest steht heute in allen modernen tierärztlichen Praxen zur Verfügung. Aufgrund seiner ausgezeichneten Zuverlässigkeit ist dieser Test eine gute Alternative für Praxen, die nicht über ein Ultraschallgerät verfügen.
Der Test weist nach, ob das von der Plazenta und damit ausschliesslich im Falle einer Trächtigkeit gebildete Hormon Relaxin im Blutkreislauf der Hündin vorhanden ist.

Ist die Diagnose einer Trächtigkeit durch eine Kontrolle des Progesteronspiegels im Blut möglich?
Bei vielen Tierarten (zB. der Kuh) ist durch eine Progesteronmessung eine Trächtigkeit festzustellen: Wenn Progesteron messbar ist, ist das Tier trächtig, wenn nicht ist es leer. Dies ist jedoch bei der Hündin nicht möglich. Während des Metöstrus (Diöstrus) also ungefähr zwei Monate lang, produziert die Hündin Progesteron, ob sie trächtig ist oder nicht. Geringe Schwankungen zwischen der Konzentration und dem Verlauf des Anstiegs scheinen zwar zu bestehen, lassen sich aber in der Praxis nicht unterscheiden.

Deshalb ist die Diagnose einer Trächtigkeit bei der Hündin durch eine Kontrolle des Progesteronspiegels nicht möglich. Wenn aber durch Abtasten, Ultraschall oder Relaxinkontrolle eine Hündin als nicht trächtig diagnostiziert wurde, ist es sinnvoll, Progesteron zu messen, um eventuelle hormonelle Störungen, die dafür verantwortlich sein könnten, festzustellen (z.B. eine Gelbkörperinsuffizienz).

Ultraschall- und Röntgenuntersuchung

Bildbegende Diagnoseverfahren UltraschallBildgebende Diagnoseverfahren, insbesondere die Ultraschalluntersuchung, liefern Informationen, die mit keiner anderen Technik möglich sind.
Ultraschall ist ein wertvolles Mittel für die Diagnose und Kontrolle des Trächtigkeitsverlaufes, da es die Überprüfung der Lebensfähigkeit der Föten in Echtzeit gestattet.

Mit Hilfe einer Ultraschalluntersuchung am 25. Tag nach der Ovulation kann die Grösse des zukünftigen Wurfes abgeschätzt werden.

 

 

Wann erfolgt die Ultraschalluntersuchung?
Mit den Ultraschallgeräten der neuen Generation können die Fruchtkammern (fötalen Ampullen) bereits ab dem Zeitpunkt der Einnistung, also etwa um Tag 17 oder 18 nach der Paarung, dargestellt werden. Es ist jedoch nicht ratsam, diese Untersuchung so frühzeitig durchzuführen. In einem so wenig fortgeschrittenen Stadium der Trächtigkeit sind die Ultraschallbilder noch nicht charakteristisch, und selbst sehr erfahrene Untersucher können nicht immer eine sichere Diagnose stellen.

Wenn eine Hündin am 18. Tag nach dem Decken untersucht wird, aber zu früh verpaart und tatsächlich erst 5 Tage später befruchtet wurde, befindet sie sich bei der Untersuchung erst am 13. Trächtigkeitstag, und im Ultraschallbild erkennt man keine Fruchtkammern. Die Diagnose "nicht trächtig" wäre in diesem Fall falsch. Um eine zuverlässige Diagnose mit einem einzigen Tierarztbesuch zu erhalten, wird deshalb generell empfohlen, Hündinnen erst um den 25. Trächtigkeitstag zu schallen.

Wurfgrösse und Stadium der Trächtigkeit
Bildbegende Diagnoseverfahren RontgenMit Hilfe der Ultraschalltechnik kann man sich zudem ein Bild von der Grösse des Wurfes machen. Allerdings ist die Welpenzählung mittels Ultraschall nicht immer 100%ig genau, und bei sehr grossen Würfen wird die tatsächliche Anzahl der Welpen oft unterschätzt (z.B. stellt der Tierarzt 6 oder 7 Welpen in Aussicht, geboren werden aber letztlich 9 Welpen). In der Praxis bedeutet dies, dass die Schätzung umso genauer gelingt, je kleiner die Hündin ist und je weniger Welpen sie trägt.

Anhand des Ultraschallbildes lässt sich das Stadium der Trächtigkeit ungefähr abschätzen, eine genaue Datierung ist jedoch nicht möglich. Die einzigen Hunderassen, bei denen Untersuchungen zur sonographischen Alterbestimmung durchgeführt wurden, sind der Labrador und der Beagle. Professor Gary, England hat Masse definiert (Durchmesser des Rumpfes, des Schädels etc.) mit deren Hilfe das Trächtigkeitsstadium bis auf zwei Tage genau bestimmt werden kann. Diese Massystem ist jedoch nicht unmittelbar auf andere Hunderassen übertragbar.

In Röntgenaufnahmen ab Tag 50 können die Welpen gezählt werden.

Missbildungen und Lebensfähigkeit
In den späteren Stadien der Trächtigkeit kann der Untersucher mittels Ultraschall versuchen, das Geschlecht der Föten zu bestimmen. Dies ist aber häufig sehr schwierig, insbesondere, wenn sehr viele Welpen vorhanden sind und das Ultraschallgerät keine sehr scharfen Bilder liefert. Schliesslich können mit Hilfe des Ultraschalls, wie auch beim Menschen, bestimmte Anomalien dargestellt werden, insbesondere Missbildungen des Herzens. Allerdings fehlen für den Hund noch Vergleichsbefunde, und die meisten Missbildungen können vor der Geburt nicht diagnostiziert werden.

Man kann mit Hilfe des Ultraschalls auch gegen Ende der Trächtigkeit und im Falle einer verzögerten Geburt den Zustand der Welpen kontrollieren, indem man ihre Herzfrequenz und ihre Eigenbewegungen überprüft.

Röntgenuntersuchung
Die Verknöcherung des Skeletts der Welpen beginnt erst um den 45. Tag, so dass Knochenstrukturen im Röntgenbild frühestens um Tag 50 sichtbar werden. Ab diesem Stadium geben Röntgenaufnahmen dem Besitzer, im Unterschied zur Ultraschalluntersuchung, exakte Informationen über die Anzahl der Welpen und nehmen ihm bei der Geburt die Ungewissheit, ob noch weitere Welpen kommen oder nicht.

Aber Achtung, anhand einer Röntgenaufnahme, selbst wenn sie sehr kurz vor der Geburt angefertigt wird, lassen sich keine Informationen über die Geburtspositionen der Welpen gewinnen, da sich viele Föten in den letzten Tagen vor der Geburt nochmals vollständig drehen.

Wie lässt sich ein Trächtigkeitsabbruch erkennen?
Mit Hilfe einer Ultraschalluntersuchung kann der fötale und embryonale Tod sehr leicht nachgeweisen werden, selbst wenn klinische Anzeichen, wie z.B. Vaginalausflüsse, oder ein Abgang der Föten oder Teilen der Plazenta fehlen. Das charakteristische Bild einer embryonalen Resorption tritt zwischen der 3. und 5. Woche nach dem Decken auf. Man beobachtet das Verschwinden embryonaler Strukturen, eine Verringerung des Umfangs der trächtigen Gebärmutter und der Amnionflüssigkeit und ein unregelmässiges Aussehen der Plazenta.

Nach der Hälfte der Trächtigkeit erkennt man den Tod der Föten anhand des Aufhörens ihrer Herztätigkeit, anhand der nicht mehr vorhandenen Unterscheidbarkeit der fötalen Organe und schliesslich anhand der fortschreitenden Auflösung der Föten. Zusätzlich können die Plazenten abnorm verändert und die fötalen Flüssigkeiten vermindert erscheinen. Im Falle einer systemischen, also den gesamten Organismus der Mutter betreffenden Erkrankung oder Störung (hormonell oder infektiös), ist der gesamte Wurf betroffen.

Pathologien der Trächtigkeit

Bakterielle Krankheiten
Prostataentzundung1Infektionskrankheiten sind wahrscheinlich die Hauptursache von Unfruchtbarkeit in der Hundezucht.
Unter diesen Infektionskrankheiten findet man zahlreiche bakterielle Infektionen.

  • Bruzellose
  • Mykoplasmen
  • Unspezifische Bakterien

Virale und parasitäre Krankheiten
Die in der Hundezucht seit einigen Jahren bekannteste Krankheit aus dieser Gruppe ist zweifellos die Herpesvirusinfektion.
Jüngste epidemiologische Studien in Europa zeigen, dass die grosse Mehrzahl aller Hundezuchtzwinger kontaminiert ist.

  • Das canine Herpesvirus
  • Weitere Viren
  • Parasitenbefall

Hormonelle Anomalien
Hormonelle AnomalienIm Falle wiederholter Aborte bei einer ansonsten symptomfreien Hündin ist eine Kontrolle der hormonellen Funktionen zu empfehlen.

  • Progesteronmangel
  • Hypothyerose (Schilddrüsenunterfunktion)
  • Diabetes mellitus (Zuckerkrankheit)

Weitere Ursachen
Die Störungen der Trächtigkeit kommen seltener vor, stellen jedoch meist echte Notfälle dar, nicht nur für den Wurf, sondern vor allem für die trächtige Hündin. Der Züchter muss diese Situation sehr schnell erkennen, um rechtzeitig tierärztliche Hilfe in Anspruch nehmen zu können.

  • Extrauterine Trächtigkeit
  • Gebärmutterdrehung
  • Nabel oder Leistenbrüche
  • Stoffwechselstörungen: Hypokalzämie (Kalziummangel im Blut) Hypoglykämie (Unterzuckerung) und Azetonämie

Leistenbruch und chirurgisch entfernte GebarmutterLeistenbruch und chirurgisch entfernte Gebarmutter1

Quelle mit ausdrücklicher Genehmigung:
Fortpflanzung des Hundes "Praktisches Handbuch der Züchter" von "Royal-Canin"